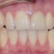
The smile of our satisfied patients is the greatest recognition for our work. Check the photos of our happy patients and dentists below. We hope that you will soon become our satisfied patient with a wide smile after undergoing preventive or restorative treatments.








































