//
Skip to content
(+36) 30 78 00 454[email protected]1023 Budapest, Frankel Leó u 29.
Search:
Facebook page opens in new windowInstagram page opens in new windowX page opens in new windowYouTube page opens in new windowLinkedin page opens in new window
Szent Lukács SPA Dental
Fogászat Budapest szívében
Szent Lukács SPA DentalSzent Lukács SPA Dental
  • About
    • About Us
    • Team
      • Dr. Zsófia Tóth
      • Dr. Tamás Ruszin
      • Dr. Róbert Nagy
      • Dr. Péter Márton Steinhof
      • Dr. Nóra Dénes
      • Dr. Mónika Zomborszki
      • Dr. Norbert Papp
    • Guarantee policy
  • Treatments
    • Dental consultation
    • Oral surgery
    • Dental Implants
      • All-on-4
      • Computer-aided dental implant planning
    • Orthodontic
    • Periodontology
    • Aesthetic dental treatments
    • Teeth whitening
    • Root canal treatments
    • Tartar removal
    • Tooth replacement
    • Dental filling
    • Dental Treatments under Anasthesia
  • Price
    • Consultation & diagnostic price
    • Aesthetic Dental price
    • Orthodontic treatment price
    • Teeth whitening price
    • Root canal treatment price
    • Dental filling price
    • Dental implant price
    • Periodontal treatment price
    • Oral surgery price
    • Tartar removal price
    • Anasthesia & sedation price
  • Blog
  • Testimons
  • Galleries
    • References
    • Our satisfied patients
    • Our surgery
  • Contact
  • English
    • Magyar (Hungarian)
  • Treatments
  • Price
  • About
  • Team
  • Testimons
  • References
  • Contact
  • Magyar

References

You are here:
  1. Home
  2. Before-After
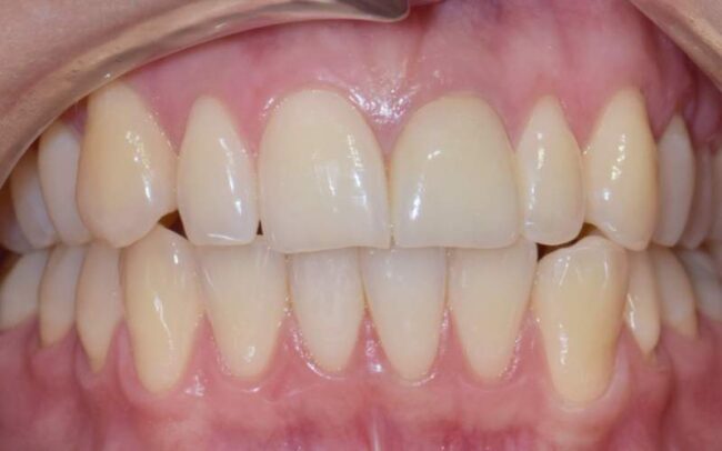
Harapás eltérés fogszabályozás után
ZoomDetails

Elek’s orthodontics

By Szent Lukács SPA Dental2023.05.29.

Our patient Elek, 34 years old, came to us with bite problems. Thanks to the orthodontic treatment of Dr. Péter Márton Steinhof, our patient can now enjoy life with completely regular teeth.

Szűk fogív fogszabályozás után
ZoomDetails

Vivien’s orthodontics

By Szent Lukács SPA Dental2023.05.29.

Orthodontic treatment of Dr. Péter Márton Steinhof. Are you looking for a beautiful smile too? Do what Vivien does! Contact us, take advantage of your free consultation and entrust yourself to an expert!

Gyermek fogszabályozás után
ZoomDetails

Luca’s smile after-before

By Szent Lukács SPA Dental2023.05.29.

Orthodontic treatment of Dr. Péter Márton Steinhof. Are you looking for a beautiful smile too? Do what Luca does! Contact us, take advantage of your free consultation and entrust yourself to an expert!

Indirekt héj után
ZoomDetails

Applying indirect veneers, before and after

By Szent Lukács SPA Dental2023.05.29.

Our patients often visiting us to treat and restore discoloured teeth, congenital tooth issues such as gaps between teeth, or any kind of crooked teeth. Applying dental veneers is one of the fastest restoration methods. Dental veneers are thin shells that can permanently correct tooth imperfections in a beautiful, aesthetical and natural-looking way.

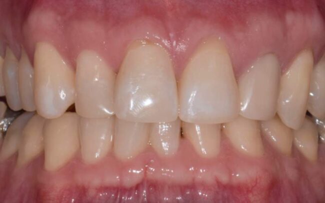
Préskerámia korona után
ZoomDetails

Pressed ceramic dental crown in the heart of Budapest

By Szent Lukács SPA Dental2023.05.29.

Using pressed ceramic dental crowns is one of the most effective and highly aesthetic solutions for treating damaged teeth. Pressed ceramic dental crown is a reliable solution in case the highly damaged tooth cannot be corrected with conventional filling, neither inlay or onlay which are used in case of large cavities.

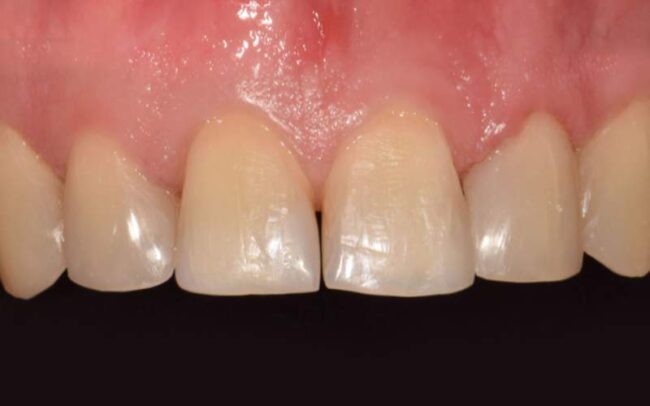
Diasztéma zárás után
ZoomDetails

Diastema closure: closing gaps between teeth quickly and simply

By Szent Lukács SPA Dental2023.05.29.

Nowadays, closing gaps between teeth – diastema closure – is a relatively simple and quick dental procedure. Learn about the methods of our dental clinic.

Élpótlás után
ZoomDetails

Edge bonding for a more beautiful smile, in the centre of Budapest

By Szent Lukács SPA Dental2023.05.16.

Saving, restoring and treating a broken tooth with edge bonding. Lifelike and natural smile in a fast, easy and affordable way.

Élpótlás után (felső fogsor)
ZoomDetails

Edge bonding, before and after (lower jaw)

By Szent Lukács SPA Dental2023.02.01.

Everyday wear-and-tear takes a toll on our teeth. Many of our patients visit us to treat their broken tooth caused by bigger or smaller accidents.

Szent Lukács SPA Dental
© 2023 Dental For You Kft. All rights reserved.

Email: [email protected] Tel.: (+36) 30 780 0454

Go to Top

Fogakra ártalmatlan sütik vannak weboldalunkon! Oldalunk böngészésével elfogadja, hogy sütik kerülnek a gépére. Adatvédelmi irányelveinket itt olvashatja el.